krew
Krew — jest to płynna tkanka łączna, która składa się z wyspecjalizowanych komórek zawieszonych w osoczu. U większości stawonogów oraz u mięczaków krew występuje w naczyniach i jamach ciała, gdyż organizmy te posiadają układ krwionośny zamknięty. Natomiast u wszystkich kręgowców oraz u niektórych bezkręgowców, na przykład pierścienic, występuje układ krwionośny zamknięty i krew krąży jedynie po naczyniach, nie wydostając się do jam ciała.
Krew odpowiada za utrzymanie homeostazy czyli równowagi wewnątrz organizmu. Odpowiada między innymi za transport tlenu, hormonów, substancji odżywczych i produktów przemiany materii. Pełni również funkcje w ochronie ciała przed czynnikami chorobotwórczymi. U człowieka komórki stanowią około 45% objętości krwi a wśród nich znajdują się erytrocyty, leukocyty oraz trombocyty. Pozostałą objętość, czyli około 55%, stanowi osocze. Dziedzina medycyny, która zajmuje się nauką o krwi, to hematologia.
Wyróżnia się cztery grupy krwi według obecności antygenów: A, B, AB i 0. Każda z grup może posiadać antygen D i w przypadku jego obecności mówimy o grupie Rh+ a w przypadku jego braku o grupie Rh-. Grupy krwi oraz obecność antygenu D są dziedziczne. Niektóre z grup występują częściej w naszej populacji a inne rzadziej. Ze względu na obecność antygenów oraz obecność lub brak czynnika Rh, wyróżniamy osiem grup krwi:
- A Rh+ (32% populacji ludzi posiada tę grupę krwi)
- 0 Rh+ (31% populacji)
- B Rh+ (15% populacji)
- AB Rh+ (7% populacji)
- A Rh- (6% populacji)
- 0 Rh- (6% populacji)
- B Rh- (2% populacji)
- AB Rh- (1% populacji)
Osocze
Osocze jest to wodny roztwór substancji organicznych i nieorganicznych. Składniki te łącznie stanowią około 8% masy osocza, z czego organiczne to około 7%. Około 92% osocza stanowi woda. Wśród składników organicznych są głównie białka takie jak albuminy, globuliny, cytokiny czy duże cząsteczki fibrynogenu. W mniejszym stopniu są to cukry – głównie glukoza, triglicerydy i kwasy tłuszczowe związane z białkami, wolne aminokwasy ale także cholesterol, mocznik, kwas moczowy i kwas mlekowy. Wśród składników nieorganicznych znajdują się między innymi jony sodu, magnezu, potasu i wapnia oraz chlorki i fosforany. Fibrynogen jest jednym ze składników biorących udział w procesie krzepnięcia krwi. Globuliny dzielą się na trzy frakcje: alfa, beta i gamma. Do pierwszej frakcji należą niektóre hormony i białka transportujące hormony, protrombina oraz lipoproteiny (HDL) transportujące tłuszcze i cholesterol. Frakcja beta również odpowiada za transport tłuszczy ale też witaminy i sole. Frakcja gamma natomiast uczestniczy w procesach odporności.
Erytrocyty
Erytrocyty, czyli czerwone krwinki, to komórki wyspecjalizowane w transporcie tlenu. Ze wszystkich kręgowców, tylko u ssaków dojrzałe erytrocyty nie posiadają jądra komórkowego. Komórki te u ssaków są elastyczne i dwuwklęsłe. Mają średnicę 7-8 µm przy grubości 1-2 µm. Dzięki takiej budowie mogą się przedostawać przez wąskie naczynia krwionośne. Erytrocyty są przystosowane do przenoszenia tlenu a dzięki dwuwklęsłej budowie mają do tego większą powierzchnię. Czerwone krwinki w trakcie rozwoju wytwarzają duże ilości hemoglobiny czyli barwnika przenoszącego tlen i nadającego czerwony kolor komórkom. Hemoglobina składa się z białka globiny oraz z grupy hemowej, wraz z żelazem tworzące kompleks. Kompleks ten ma zdolność do wiązania tlenu i dwutlenku węgla w celu transportowania tych cząsteczek pomiędzy płucami a narządami. Erytrocyty produkowane są w czerwonym szpiku kostnym kręgów, żeber, mostka, kości długich i kości czaszki.
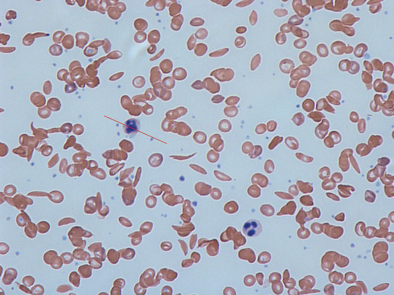
Leukocyty
Leukocyty, czyli białe krwinki, są to komórki wyspecjalizowane do obrony organizmu przed szkodliwymi drobnoustrojami. W tym celu zostały obdarzone zdolnością do ruchu. Są wytwarzane w czerwonym szpiku kostnym, a w ludzkiej krwi jest ich pięć rodzajów. Leukocyty dzielą się na granulocyty i agrnanulocty, z czego pierwsze charakteryzują się obecnością ziarnistości w cytoplazmie oraz dużym płatowatym jądrem komórkowym. Druga grupa z kolei nie posiada ziarnistości, a jądro komórkowe może mieć nerkowaty lub zaokrąglony kształt.
Wśród granulocytów rozróżniamy neutrofile, eozynofile i bazofile. Neutrofile, inaczej granulocyty obojętnochłonne, to podstawowe komórki fagocytujące obecne we krwi. Ich zadanie polega na wyszukiwaniu bakterii oraz pozostałości po obumarłych komórkach w zranionych lub zainfekowanych tkankach a następnie ich pochłanianie. W ziarnistościach neutrofili są obecne enzymy, które trawią pochłonięte substancje. Eozynofile nazywamy również granulocytami kwasochłonnymi. Ich obecność we krwi wzrasta w momencie reakcji alergicznej bądź w przypadku zakażenia pasożytniczego. Ostatnie z grupy to bazofile, które nazywane są granulocytami zasadochłonnymi. One również uczestniczą w reakcjach alergicznych gdyż ich ziarnistości zawierają histaminę. W bazofilach obecna jest również heparyna czyli substancja zapobiegająca krzepnięciu krwi wewnątrz naczyń krwionośnych.
Agranulocyty dzielą się na monocyty i limfocyty. Monocyty są największymi spośród białych krwinek, osiągają 20 µm. W krwi są obecne krótko, po około 24 godzinach przedostają się do tkanek. Tam dojrzewają i stają się makrofagami czyli komórkami, które pochłaniają bakterie, obumarłe komórki oraz ich pozostałości. Limfocyty są to komórki odpowiedzialne za reakcję immunologiczną, ich funkcją jest produkcja przeciwciał lub bezpośredni atak wirusów i bakterii. Są wytwarzane w grasicy (limfocyty T) lub w szpiku kostnym (limfocyty B). Limfocyty różnią się między sobą ze względu na pełnione funkcje. Limfocyty B odpowiadają za odporność typu humoralnego natomiast limfocyty T za odporność typu komórkowego. Limfocyty T cytotoksyczne rozpoznają i niszczą komórki rakowe oraz inne patogenne. Limfocyty T pomocnicze aktywują limfocyty B oraz stymulują wytwarzanie limfocytów cytotoksycznych. Limfocyty T supresorowe hamują odpowiedź immunologiczną. Limfocyty pamięci mogą być T lub B i umożliwiają one szybką odpowiedź immunologiczną na powtórny kontakt z danym antygenem.
Trombocyty
Trombocyty, czyli płytki krwi, to komórki odpowiedzialne za proces krzepnięcia krwi. Są drobne, kuliste lub elipsoidalne. Nie są kompletnymi komórkami, nie posiadają jądra komórkowego ani organelli. W momencie uszkodzenia naczynia krwionośnego, płytki krwi gromadzą się w miejscu pęknięcia uszczelniając je. Stają się lepkie i przyklejają się do włókien kolagenowych obecnych w ścianach naczyń. Przy udziale płytek krwi, protrombiny, jonów wapnia oraz czynników krzepnięcia powstaje skrzep umożliwiający zagojenie uszkodzenia.





potrzebuję na EDB już!